Samengevat: Verwaarlozing ,mishandeling en trauma kan een onderontwikkeld brein in je kind veroorzaken. Liefde, verbinding, aanhankelijkheid doen juist het tegenovergestelde en helpen het brein van je kind zich op een gezonde manier te ontwikkelen.
Houden van je kind vertaalt zich fysiek naar een groter, gezonder brein dan bij kinderen die kampen met ernstige verwaarlozing, mishandeling en trauma. Het is dus belangrijk dat er van kinderen gehouden wordt, dat ze gesteund worden, en niet alleen zodat ze zich goed over zichzelf kunnen voelen; het helpt ze ook fysiek te ontwikkelen zoals ze zich horen te ontwikkelen.
Dit is belangrijke informatie voor ouders om te weten, met name omdat er recentelijk een debat is ontstaan over of kinderen, en met name baby’s, aanhankelijk moeten zijn aan hun moeders, of dat ze zelfstandig moeten ‘uithuilen’ of zichzelf moeten sussen. Dit gaat over meer dan of het kind onafhankelijk en emotioneel sterk wordt: het heeft een impact op hoe het kind zich fysiek ontwikkelt tot een gezonde volwassenen, en of ze tijdens het opgroeien te kampen krijgen met mentale problemen en verslavend gedrag.
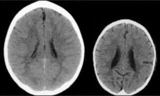
Hersenscans
De afbeelding hieronder is een beeld van de hersenen van twee kinderen: de linker groeide op met een aandachtige verzorger die hem continu liefde gaf, voor hem zorgde, reageerde op zijn vragen en positieve interacties met hem had. Het kind aan de rechterkant werd genegeerd, verwaarloosd en mishandeld.

“Het kind aan de rechterkant zal zich ontwikkelen tot een volwassenen met lagere intelligentie, verminderd vermogen tot empathie voor anderen, heeft een verhoogd risico om verslaafd te raken aan drugs en in aanraking te komen met gewelddadige misdaad … en om mentale en andere serieuze gezondheidsproblemen te ontwikkelen,” zo stelt een artikel van de Britse krant The Telegraph.
Volgens professor in de psychiatrie Allan Schore, een vooraanstaande neurobioloog die onderzoek doet naar het effect van de hoeveelheid liefde van de verzorgers op de ontwikkeling van een kind, “is er voor de groei van een baby’s brein letterlijk positieve interactie nodig tussen moeder en kind; de ontwikkeling van circuits in de hersenen zijn ervan afhankelijk.”
Lees ook: Volgens wetenschap is stilte van levensbelang voor ons brein
Wanneer is dit het belangrijkste?

Vanaf het begin van het derde trimester van de zwangerschap tot de 24e maand na de geboorte wordt het brein van de baby meer dan twee keer zo groot, maar alleen als het de liefde, zorg en affectie ontvangt die kinderen echt nodig hebben.
“Het menselijk brein heeft bepaalde behoeftes wat betreft contact met andere mensen om te kunnen groeien. De verbindingen die niet worden gebruikt, sterven af,” vertelt Schore. “Het is een kwestie van gebruiken of verliezen. Cellen die samen afvuren, blijven samen en sterven niet samen af.”
“Het brein groeit niet alsmaar verder. Het organiseert zich, vervalt dan weer en organiseert zich opnieuw. Het verval van de hersenen – de massale sterfte van miljarden neuronen en ontbindingen van synapsen – is onderdeel van hoe het brein groeit terwijl het zich reorganiseert,” gaat Schore verder.
Dit is voor sommigen van jullie misschien overduidelijk, maar veel verzorgers begrijpen niet hoe belangrijk dit is en geloven dat ze kinderen onafhankelijk moeten maken, en dat ze dus zichzelf moeten kunnen kalmeren. Helaas zien ze daarbij niet in dat baby’s niet beschikken over de middelen om dat te doen, en als ze om hulp roepen, zelfs al hebben ze geen honger, hoeven ze niet verschoond te worden of lijken ze niets nodig te hebben, dan vragen ze alsnog om je liefde, zorg en aandacht.
In de onderstaande video legt dr. Schore in meer detail uit wat hij heeft ontdekt.
Herhalende cyclussen
“Ouders die onderontwikkelde hersenen hebben, omdat hun ouder hen verwaarloosd hebben, verwaarlozen hun eigen kinderen op vergelijkbare wijze: hun eigen kinderen komen te lijden on der hetzelfde gebrek aan ontwikkeling,” stelt het artikel uit The Telegraph.
Men is van mening dat de toegedane schade permanent is, dus misschien denk je nu dat er geen hoop is en generatie na generatie dezelfde cyclus zal herhalen van wat meestal onbedoelde mishandeling is. Maar dankzij deze kennis en dit bewustzijn kunnen we vroege interventies uitoefenen. We kunnen moeders die ‘risico lopen’ hun baby’s te verwaarlozen makkelijker identificeren en een verpleegster inhuren om regelmatig te komen kijken en ze te instrueren over hoe ze voor hun pasgeboren kindje moeten zorgen.
Deze vorm van vroege interventies wordt in de VS al meer dan 20 jaar toegepast. Volgens gegevens uit de staat New York, waar dit soort programma’s het langst al worden uitgevoerd, blijkt dat kinderen van moeders die dit soort begeleiding ontvingen, het veel beter deden in vergelijking met kinderen in vergelijkbare omstandigheden, maar zonder begeleiding. Wederom volgens het artikel in The Telegraph werden de kinderen van moeders die ‘risicovol’ waren en begeleiding kregen 50% minder vaak gearresteerd, werden ze 80% minder vaak veroordeelt en hadden ze een significant lager percentage van drugsgebruik.
Houd je kinderen vast
Hopelijk wordt deze informatie snel algemene kennis en voeden we allemaal onze kinderen op met zoveel mogelijk zorg, liefde en affectie. Maar tot die tijd: zegt het voort! Als je deze informatie nuttig vond of iemand kent die er iets aan heeft, deel het dan alsjeblieft.
